Skip Menu
Continue
  • 90-33 160th Street,
  • Jamaica, NY 11432
  • Home
  • About Us
    • Our Dentists
    • Our Office
    • Reviews
    • Privacy Policy
    • Office Policy
  • Patient Information
    • Electronic Patient Forms
    • Patient Forms
    • Privacy Policy
    • Office Policy
    • General Information
  • Payment Options
    • Payment Options
    • Insurance Options
    • Financial Policy
  • Promotionals
  • Services
      • Oral Exams
      • Crowns and Bridges
      • Dentures
      • Implant Placement and Restorations
      • Dental Cleanings
      • Dental Fillings
      • Emergency Treatment
      • Extractions
      • Night Guards
      • Oral Cancer Screening
      • Pediatric Dentistry
      • Preventive Program
      • Root Canals
      • Sports Mouthguards
      • Teeth Whitening
      • TMJ Disorders
      • Veneers
  • Dental Health
    • Library
    • Dental Videos
    • Smile Gallery
  • Contact
    • Contact Us
    • Request Appointment

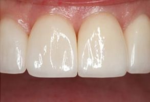
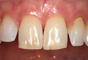
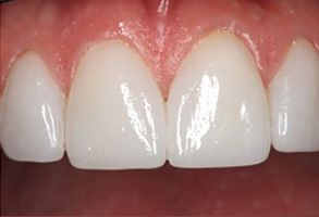
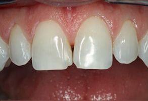
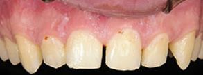
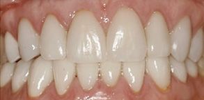
Smile Gallery

Additional Information

Our Location

90-33 160th Street
Jamaica, NY 11432
(718) 657-4838
Fax: (718) 657-0099

Follow Us